Implanty zębów to zaawansowane rozwiązania protetyczne, które coraz częściej wybierane są przez pacjentów borykających się z utratą uzębienia. Ich główną zaletą jest trwałość i funkcjonalność, często porównywalna do naturalnych zębów. Odpowiedź na pytanie, jak długo wytrzymują implanty zębów, nie jest jednoznaczna, ponieważ na ich żywotność wpływa wiele czynników. Statystyki pokazują jednak, że przy odpowiedniej higienie i regularnych kontrolach stomatologicznych, implanty mogą służyć pacjentowi przez całe życie. Warto jednak zrozumieć, co dokładnie składa się na tę długowieczność i jakie kroki można podjąć, aby zmaksymalizować szanse na sukces leczenia implantologicznego.
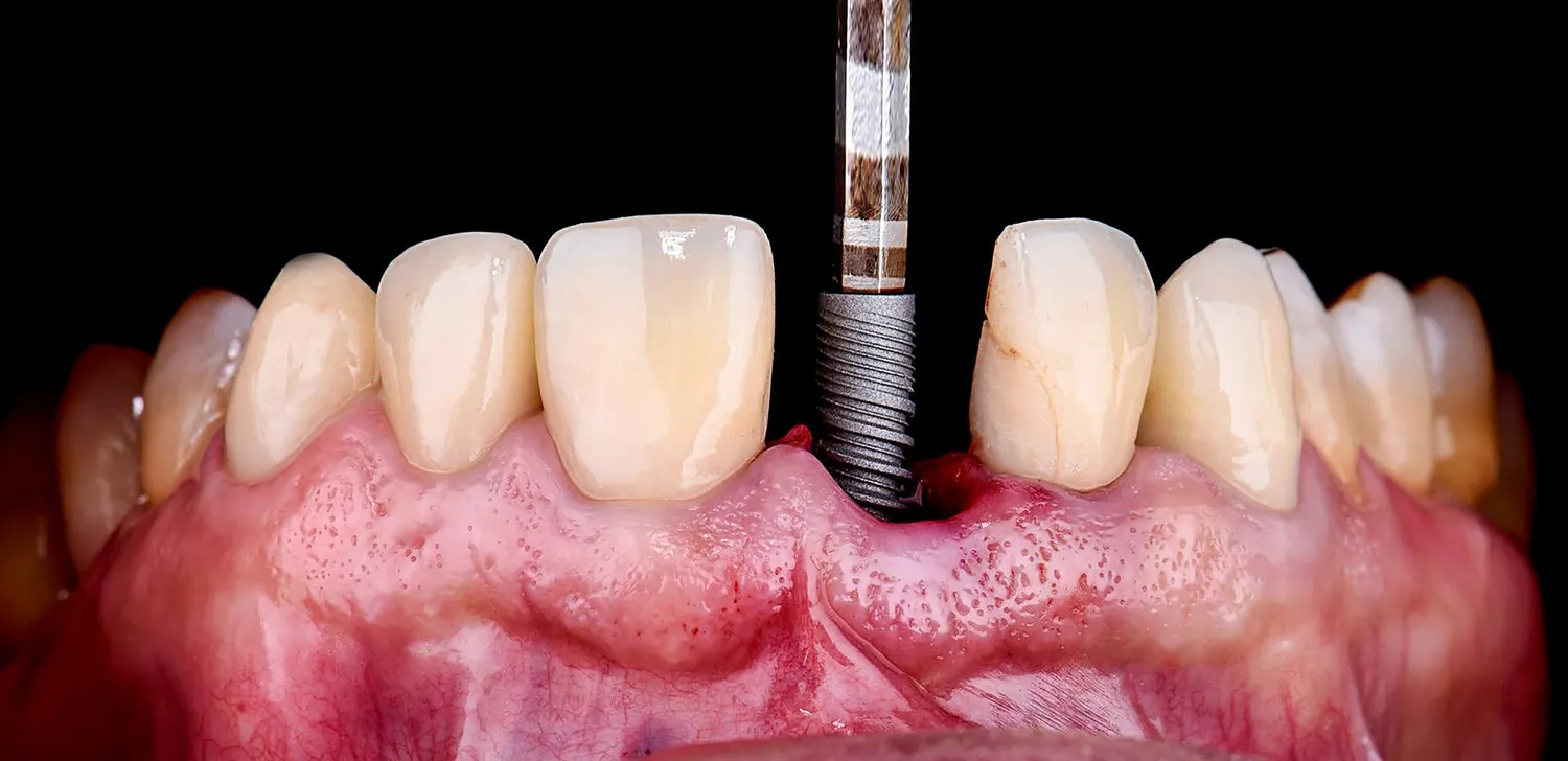
Proces integracji implantu z kością szczęki lub żuchwy, nazywany osteointegracją, jest kluczowy dla jego stabilności i trwałości. Jest to złożony proces biologiczny, w którym tkanka kostna narasta na powierzchni implantu, tworząc solidne połączenie. Jeśli ten proces przebiegnie pomyślnie, implant staje się integralną częścią układu kostnego, a jego osadzenie jest bardzo mocne. Brak osteointegracji jest jedną z głównych przyczyn niepowodzeń leczenia implantologicznego, choć zdarza się stosunkowo rzadko. Po pomyślnej osteointegracji, implant staje się fundamentem dla korony protetycznej, która odtwarza kształt i funkcję utraconego zęba.
Współczesne implanty stomatologiczne wykonane są z najwyższej jakości materiałów, najczęściej z tytanu lub jego stopów, które charakteryzują się doskonałą biokompatybilnością. Oznacza to, że organizm ludzki doskonale je toleruje, minimalizując ryzyko odrzucenia. Powierzchnia implantu jest często modyfikowana, aby przyspieszyć i ułatwić proces osteointegracji. Te cechy techniczne, w połączeniu z precyzją wykonania zabiegu przez doświadczonego chirurga stomatologa, stanowią podstawę dla długotrwałego sukcesu leczenia implantologicznego. Decydując się na implanty, warto zwrócić uwagę na jakość użytych materiałów i doświadczenie kliniki.
Czynniki wpływające na długowieczność implantów zębowych
Żywotność implantów zębowych jest ściśle powiązana z szeregiem czynników, na które pacjent ma realny wpływ, ale także z pewnymi uwarunkowaniami medycznymi i technicznymi. Zrozumienie tych elementów pozwala na świadome podejście do leczenia i długoterminową dbałość o uzupełnienie protetyczne. Kluczowe znaczenie ma jakość przeprowadzonych zabiegów, rodzaj zastosowanych materiałów oraz indywidualne predyspozycje organizmu pacjenta. Dodatkowo, styl życia i nawyki higieniczne odgrywają niebagatelną rolę w utrzymaniu implantów w dobrym stanie przez wiele lat.
Stan zdrowia ogólnego pacjenta ma nieocenione znaczenie dla sukcesu leczenia implantologicznego i późniejszej trwałości implantów. Choroby przewlekłe, takie jak cukrzyca, choroby serca czy osteoporoza, mogą wpływać na proces gojenia i integracji implantu z kością. Szczególnie niekontrolowana cukrzyca może prowadzić do powikłań, zwiększając ryzyko infekcji i utrudniając regenerację tkanek. Pacjenci zmagający się z chorobami autoimmunologicznymi również mogą wymagać szczególnej uwagi i indywidualnego podejścia. Przed przystąpieniem do zabiegu implantacji, stomatolog zawsze przeprowadza szczegółowy wywiad medyczny, aby ocenić potencjalne ryzyko i zaplanować leczenie tak, aby zminimalizować wszelkie negatywne skutki.
Kluczową rolę w utrzymaniu implantów w doskonałym stanie odgrywa codzienna higiena jamy ustnej. Podobnie jak w przypadku naturalnych zębów, zaniedbania w tej kwestii mogą prowadzić do stanów zapalnych dziąseł i tkanki kostnej wokół implantu, czyli periimplantitis. Jest to schorzenie, które, jeśli nie zostanie wcześnie zdiagnozowane i leczone, może doprowadzić do utraty tkanki kostnej i w konsekwencji do konieczności usunięcia implantu. Należy zatem stosować odpowiednie techniki szczotkowania, używać nici dentystycznej lub irygatora, a także regularnie odwiedzać gabinet stomatologiczny na profesjonalne zabiegi higienizacyjne i kontrolne.
Jak długo wytrzymują implanty zębów w zależności od pielęgnacji

Codzienna higiena jamy ustnej powinna być prowadzona z taką samą starannością, jak w przypadku naturalnych zębów, a nawet z większą precyzją. Zaleca się stosowanie miękkiej szczoteczki do zębów oraz pasty do zębów bez agresywnych środków ściernych. Bardzo ważne jest dokładne czyszczenie przestrzeni między implantem a dziąsłem, a także okolic korony protetycznej. W tym celu niezwykle pomocne okazują się specjalistyczne nici dentystyczne, szczoteczki międzyzębowe oraz irygatory wodne. Te narzędzia pozwalają na skuteczne usuwanie resztek pokarmowych i płytki bakteryjnej, zapobiegając rozwojowi stanów zapalnych.
Regularne wizyty kontrolne w gabinecie stomatologicznym są nieodzownym elementem utrzymania implantów w dobrej kondycji. Stomatolog lub higienistka stomatologiczna przeprowadza profesjonalne czyszczenie, które usuwa osad nazębny i kamień, trudny do usunięcia w warunkach domowych. Ponadto, podczas wizyt kontrolnych możliwe jest wczesne wykrycie ewentualnych problemów, takich jak stany zapalne dziąseł, oznaki periimplantitis czy nieprawidłowości w zgryzie. Wczesna interwencja pozwala na szybkie wdrożenie odpowiedniego leczenia, co znacząco zwiększa szanse na zachowanie implantów na długie lata.
Wpływ jakości materiałów i techniki na trwałość implantów
Nie ulega wątpliwości, że jakość użytych materiałów podczas produkcji implantów stomatologicznych oraz precyzja wykonania zabiegu implantacji mają fundamentalne znaczenie dla ich późniejszej trwałości. Wybierając renomowanych producentów implantów i doświadczonych specjalistów, pacjent inwestuje w długoterminowy sukces leczenia. Niskiej jakości materiały lub niedostateczne umiejętności chirurga mogą prowadzić do przedwczesnych problemów i konieczności reoperacji, co znacząco wpływa na koszty i samopoczucie pacjenta.
Współczesne implanty stomatologiczne najczęściej wykonywane są z wysokiej klasy tytanu lub jego stopów. Tytan jest materiałem niezwykle biokompatybilnym, co oznacza, że jest doskonale tolerowany przez ludzki organizm i nie wywołuje reakcji alergicznych. Jego struktura chemiczna sprzyja procesowi osteointegracji, czyli zrastania się implantu z tkanką kostną. Producenci stale pracują nad ulepszaniem powierzchni implantów, stosując różne techniki modyfikacji, takie jak piaskowanie, trawienie kwasem czy pokrywanie hydroksyapatytem. Te innowacje mają na celu przyspieszenie procesu gojenia i zapewnienie jeszcze silniejszego połączenia implantu z kością, co bezpośrednio przekłada się na jego żywotność.
Technika chirurgiczna stosowana podczas zabiegu implantacji jest równie ważna jak jakość samego implantu. Doświadczony chirurg stomatolog, dysponujący odpowiednią wiedzą i narzędziami, jest w stanie precyzyjnie umieścić implant w optymalnym miejscu, minimalizując ryzyko powikłań. Nowoczesne techniki, takie jak nawigacja komputerowa czy chirurgia flapless (bez płatów), pozwalają na jeszcze większą precyzję i mniejszą inwazyjność zabiegu. Właściwe zaplanowanie pozycji implantu, uwzględniając anatomię pacjenta i przewidywane obciążenie protetyczne, jest kluczowe dla jego długoterminowej stabilności i funkcji.
Jak długo wytrzymują implanty zębów w kontekście warunków medycznych pacjenta
Stan zdrowia pacjenta odgrywa niebagatelną rolę w kontekście tego, jak długo implanty zębów będą funkcjonować w jego jamie ustnej. Istnieje szereg schorzeń i stanów medycznych, które mogą wpływać na proces gojenia, integrację implantu z kością, a także na ogólną odporność organizmu na infekcje. Dlatego też przed podjęciem decyzwy o leczeniu implantologicznym, kluczowe jest przeprowadzenie szczegółowej diagnostyki medycznej i oceny ryzyka.
Choroby ogólnoustrojowe, takie jak niekontrolowana cukrzyca, choroby sercowo-naczyniowe, niedoczynność tarczycy czy osteoporoza, mogą znacząco wpłynąć na powodzenie leczenia implantologicznego. W przypadku cukrzycy, wysoki poziom glukozy we krwi może spowolnić proces gojenia ran i zwiększyć podatność na infekcje, co negatywnie wpływa na osteointegrację. Pacjenci z chorobami serca mogą wymagać odpowiedniego przygotowania i konsultacji z kardiologiem przed zabiegiem. Osoby cierpiące na osteoporozę mogą mieć osłabioną strukturę kości, co może stanowić wyzwanie dla stabilnego osadzenia implantu.
Palenie tytoniu jest jednym z najważniejszych czynników ryzyka związanego z leczeniem implantologicznym. Nikotyna powoduje zwężenie naczyń krwionośnych, co ogranicza dopływ tlenu i składników odżywczych do tkanek, utrudniając gojenie i zwiększając ryzyko niepowodzenia implantacji oraz rozwoju periimplantitis. Zaleca się rzucenie palenia na kilka tygodni przed zabiegiem i utrzymanie abstynencji w okresie rekonwalescencji, a najlepiej przez cały okres użytkowania implantów. Podobnie alkohol, spożywany w nadmiernych ilościach, może negatywnie wpływać na proces gojenia i odporność organizmu.
Długość życia implantów zębów a wiek i styl życia pacjenta
Wiek pacjenta oraz jego styl życia to czynniki, które mogą mieć wpływ na to, jak długo implanty zębów będą mu służyć. Chociaż implanty stomatologiczne nie mają określonego terminu ważności, to pewne nawyki i uwarunkowania związane z wiekiem mogą wpływać na ich długowieczność. Ważne jest, aby zrozumieć te zależności i podjąć odpowiednie kroki w celu maksymalizacji szans na sukces.
Wiek pacjenta sam w sobie nie jest przeciwwskazaniem do implantacji, jednak u osób starszych procesy regeneracyjne mogą przebiegać wolniej. Niemniej jednak, jeśli pacjent jest w dobrym stanie ogólnym i nie cierpi na choroby utrudniające gojenie, wiek nie stanowi przeszkody. Istotniejsze są choroby współistniejące, które mogą pojawić się wraz z wiekiem, jak wspomniano wcześniej. Z drugiej strony, młodzi pacjenci, u których wciąż trwa rozwój kości szczęk i żuchwy, zazwyczaj nie są kwalifikowani do leczenia implantologicznego, dopóki ich rozwój kostny nie zostanie zakończony. Jest to zazwyczaj okres po zakończeniu dojrzewania.
Styl życia ma ogromne znaczenie dla trwałości implantów. Oprócz wspomnianego już palenia tytoniu i nadużywania alkoholu, negatywny wpływ może mieć również niewłaściwa dieta, uboga w niezbędne witaminy i minerały, które są kluczowe dla zdrowia kości i dziąseł. Z kolei dieta bogata w cukry sprzyja rozwojowi próchnicy i chorób przyzębia, które pośrednio mogą wpływać na kondycję implantów. Aktywność fizyczna, zwłaszcza ta wymagająca dużej siły fizycznej, może wiązać się z ryzykiem urazów jamy ustnej, dlatego w przypadku sportowców zaleca się stosowanie ochraniaczy.
Jak długo wytrzymują implanty zębów a potencjalne powikłania
Nawet przy najlepszej opiece i najwyższej jakości materiałach, istnieje niewielkie ryzyko wystąpienia powikłań po wszczepieniu implantów stomatologicznych. Zrozumienie potencjalnych problemów i wiedza o tym, jak sobie z nimi radzić, jest kluczowe dla długoterminowej satysfakcji z leczenia. Odpowiednia reakcja na pierwsze symptomy problemu może zapobiec poważniejszym konsekwencjom.
Jednym z najczęściej omawianych problemów jest periimplantitis, czyli stan zapalny tkanek otaczających implant. Może on objawiać się zaczerwienieniem, obrzękiem, krwawieniem dziąseł oraz stopniową utratą tkanki kostnej wokół implantu. Jest to stan podobny do zapalenia przyzębia, które dotyka naturalnych zębów. Periimplantitis może być spowodowany przez nagromadzenie płytki bakteryjnej, niedostateczną higienę jamy ustnej, palenie tytoniu, a także przez choroby ogólnoustrojowe, takie jak cukrzyca. Wczesne wykrycie i leczenie periimplantitis jest kluczowe dla uratowania implantu.
Innym potencjalnym powikłaniem jest brak osteointegracji, czyli zjawisko, w którym implant nie zrasta się prawidłowo z kością. Może to być spowodowane przez infekcję, zbyt wczesne obciążenie implantu, nieodpowiednią jakość kości, a także przez pewne schorzenia ogólnoustrojowe pacjenta. W przypadku braku osteointegracji implant jest niestabilny i zazwyczaj wymaga usunięcia. Po odpowiednim czasie i wyleczeniu, możliwe jest ponowne wszczepienie implantu.
W rzadszych przypadkach mogą wystąpić również problemy z koroną protetyczną, takie jak jej pęknięcie, odłamanie lub zluźnienie. Często wynika to z nadmiernego obciążenia, bruksizmu (zgrzytania zębami) lub wad zgryzu. W takich sytuacjach zazwyczaj wystarcza naprawa lub wymiana korony protetycznej. Regularne kontrole stomatologiczne pozwalają na wczesne wykrycie i naprawę tego typu problemów, zanim staną się one poważniejsze.





